Dental Implants in Manchester – Restore Your Smile with Confidence
Restore Your Smile with Confidence — Single Tooth to Full Mouth Solutions
Missing teeth don’t just affect your smile — they affect how you eat, speak and feel. At Kingswater Dental Practice, we provide secure, natural-looking dental implants designed to restore both function and confidence.
A Long-Term, Fixed Solution for Missing Teeth
Dental implants are small titanium posts placed into the jawbone to replace missing tooth roots. Once healed, they support a crown, bridge, or full arch of teeth that look and feel natural.
Fixed & Stable
No slipping or movement like traditional dentures. Implants are securely anchored in place.
Natural Look & Feel
Designed to blend seamlessly with your existing teeth for a confident, natural smile.
Protects Surrounding Teeth
No need to shave down adjacent healthy teeth like with a traditional bridge.
Long-Term Durability
Built for strength and longevity with proper care and maintenance.
Implant Options at Kingswater
Tailored solutions for every stage of tooth loss.
Single Tooth Implant
Ideal if you’ve lost one tooth. A custom-made crown is secured onto a single implant, restoring both appearance and function with a seamless result.
Multiple Teeth (Implant Bridge)
If you’re missing several teeth in a row, implants can support a fixed bridge. Treatment recommendations are always tailored and case-dependent.
Implant-Retained Dentures
Designed for denture wearers who want greater stability when eating and speaking, without the movement associated with traditional dentures.
Full Mouth / Full Arch Restoration
For patients with multiple missing or failing teeth, full-arch implant solutions restore an entire smile with a secure, fixed result.
Your Implant Journey – Step by Step
Consultation & Assessment
We begin with a detailed discussion about your goals, examine your oral health, assess suitability for implants, and explore all available options.
Personalised Treatment Plan
You receive a clear treatment timeline, transparent pricing, and a fully tailored plan designed around your needs.
Implant Placement
Your implant procedure is carefully planned and precisely performed, prioritising comfort, safety, and long-term success.
Healing & Integration
Over the next few months, the implant naturally integrates with your jawbone, creating a strong and stable foundation.
Final Restoration
A custom crown, bridge, or full-arch restoration is securely fitted, completing your new smile with a natural, confident result.
Aftercare & Maintenance
Ongoing reviews and professional care help protect your investment and ensure your implants remain healthy for years to come.
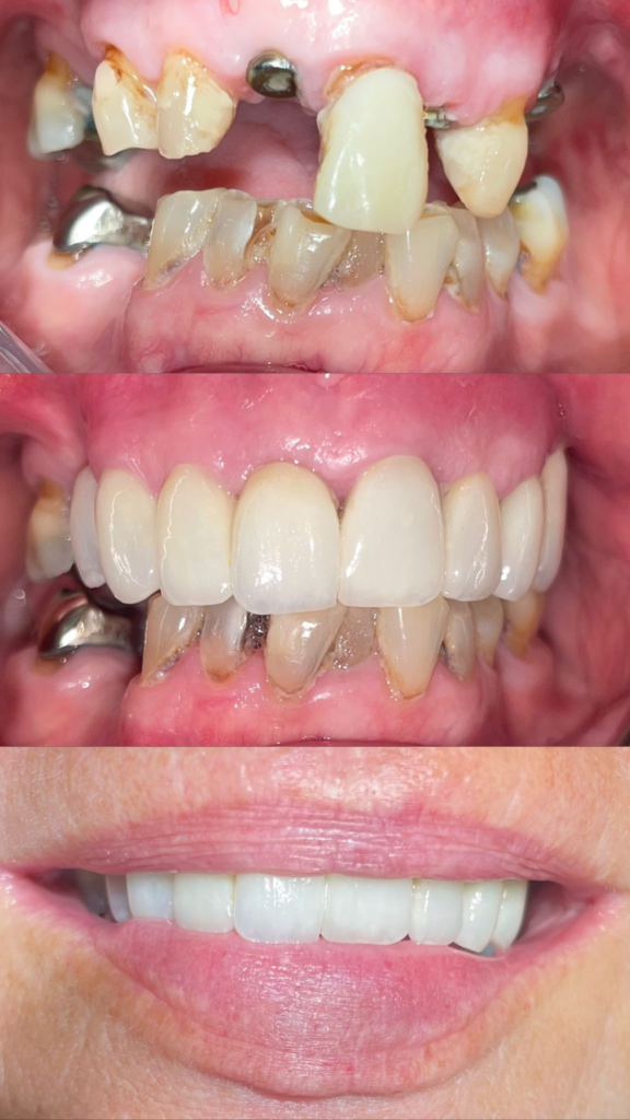
Results Gallery (Before & After)
Full arch implant restoration – functional and aesthetic improvement
Close-up results showing natural contours and bite function.
Cost & Finance Options
Implant treatment is personalised. After your consultation, you’ll receive a clear written treatment plan outlining exact costs.
Implants from £2,900
Full Mouth Implants from £14,000
Spread the Cost Over Up to 60 Months
We offer finance options so you can divide the cost into manageable monthly payments over up to 60 months.
Check Monthly Payment OptionsPeace of Mind: 5-Year Smilesafe Protection
We’ve partnered with Smilesafe to provide 5-year implant protection, designed to protect your investment within policy terms.
Why Choose Kingswater Dental Practice?
- ✔ Experienced clinical team
- ✔ Modern technology and careful planning
- ✔ Transparent pricing and clear treatment plans
- ✔ Finance available up to 60 months
- ✔ 5-year Smilesafe implant protection
- ✔ Patient-first care from consultation to aftercare
